
Published :
Updated :

More than 100 cases of monkeypox, a viral infection more common to west and central Africa, have been reported in Europe, with German officials describing the outbreak as the largest ever in the region.
Cases have now been confirmed in countries including the United Kingdom, Spain, Portugal, Belgium, France, the United States and Australia, reports Reuters.
First identified in monkeys, the disease typically spreads through close contact and has rarely spread outside Africa, so this series of cases has triggered concern.
However, scientists do not expect the outbreak to evolve into a pandemic like COVID-19, given the virus does not spread as easily as SARS-COV-2.
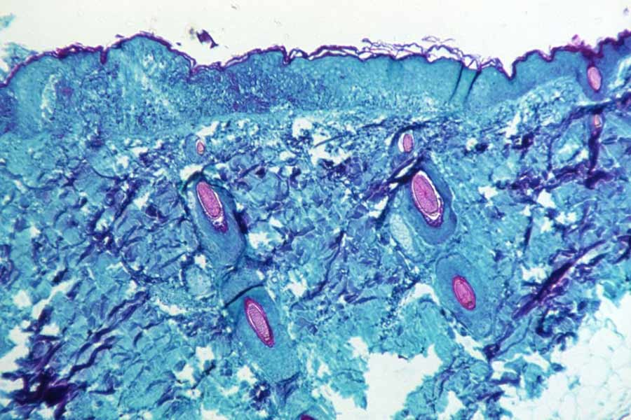
Monkeypox is usually a mild viral illness, characterised by symptoms of fever as well as a distinctive bumpy rash.
"With several confirmed cases in the United Kingdom, Spain and Portugal, this is the largest and most widespread outbreak of monkeypox ever seen in Europe," said Germany's armed forces' medical service, which detected its first case in the country on Friday.
Fabian Leendertz, from the Robert Koch Institute, described the outbreak as an epidemic.
"However it is very unlikely that this epidemic will last long. The cases can be well isolated via contact tracing and there are also drugs and effective vaccines that can be used if necessary," he said.
There isn't a specific vaccine for monkeypox, but data shows that vaccines that were used to eradicate smallpox are up to 85 per cent effective against monkeypox, according to the World Health Organisation (WHO).
British authorities on Thursday said they had offered a smallpox vaccine to some healthcare workers and others who may have been exposed to monkeypox.
UNUSUAL CASES
Since 1970, monkeypox cases have been reported in 11 African countries. Nigeria has had a large outbreak since 2017 - so far this year there have been 46 suspected cases, of which 15 have since been confirmed, according to the WHO.
The first European case was confirmed on May 7 in an individual who returned to England from Nigeria.
Since then, more than 100 cases have been confirmed outside Africa, according to a tracker by a University of Oxford academic.
Many of the cases are not linked to travel to the continent. As a result, the cause of this outbreak is unclear, although health authorities have said that there is potentially some degree of community spread.
In Britain, where 20 cases have been now confirmed, the UK Health Security Agency said the recent cases in the country were predominantly among men who self-identified as gay, bisexual or men who have sex with men.
The 14 cases in Portugal that were all detected in sexual health clinics are also in men who self-identify as gay, bisexual or men who have sex with men.
It is too early to say if the illness has morphed into a sexually transmitted disease, said Alessio D'Amato, health commissioner of the Lazio region in Italy. Three cases have been reported so far in the country.
Sexual contact, by definition, is close contact, added Stuart Neil, professor of virology at Kings College London.
"The idea that there's some sort of sexual transmission in this, I think, is a little bit of a stretch," he said.
Scientists are sequencing the virus from different cases to see if they are linked, the WHO has said. The agency is expected to provide an update soon.

For all latest news, follow The Financial Express Google News channel.